
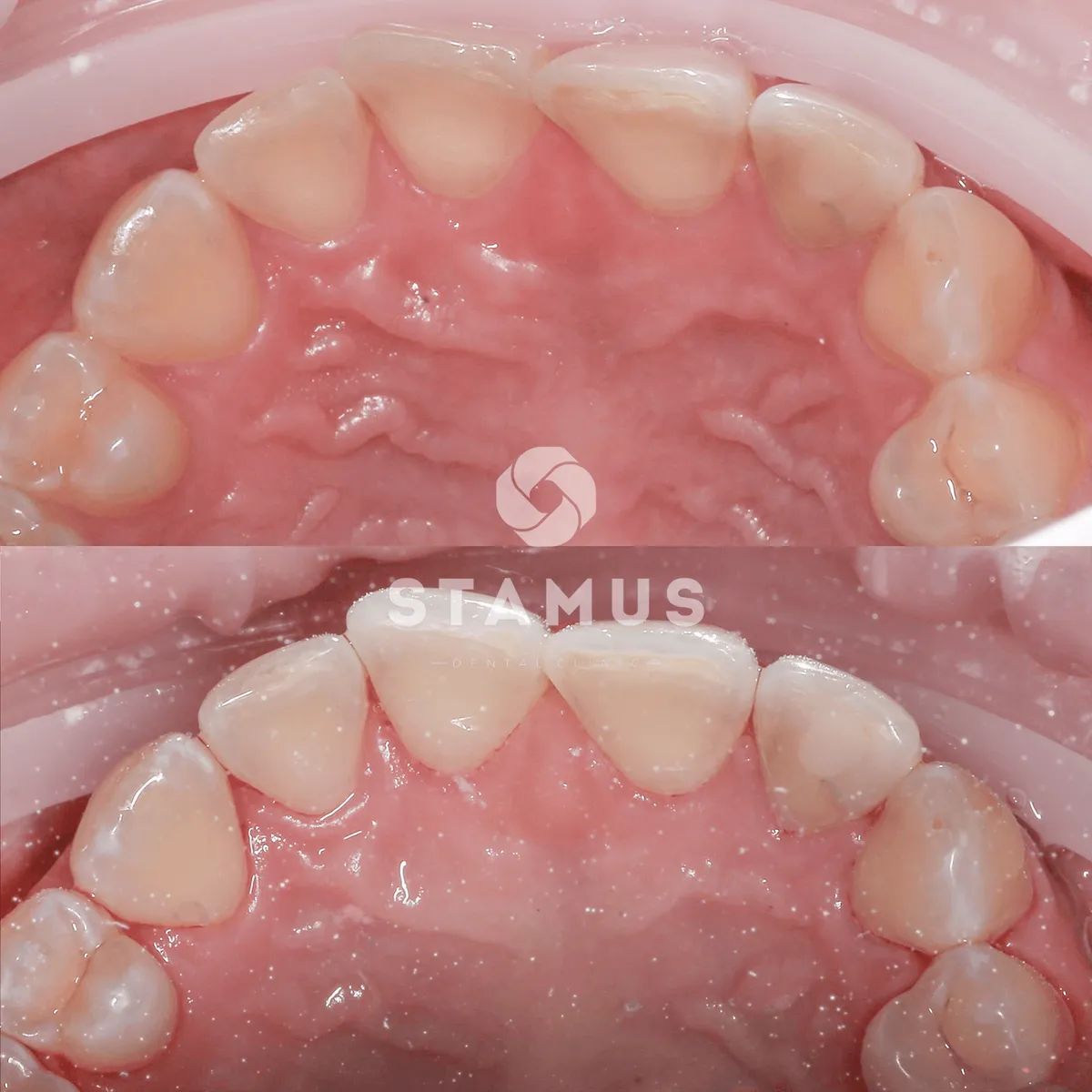
Профессиональная гигиена полости рта
Air Flow
Затраченное время:
1 посещение
Стоимость всего лечения:
5 500₽
Симптомы, с которыми обратился пациент
Эстетический дефект
Решение

Первый этап:
Air Flow – бережно отчищает зубы от налета и различных отложений.
Второй этап:
Ультразвуковая чистка зубов – удаление зубного камня.
Третий этап:
Полировка зубов специальными пастами.
Четвертый этап:
Реминерализация – насыщение эмали зубов полезными веществами.
Записаться на консультацию
Перезвоним в течение 15 минут и уточним
удобную для вас клинику и дату
Нажимая кнопку отправить, вы соглашаетесь с Политикой обработки персональных данных



