
Лечение кариеса
1 час, лечение кариеса
Затраченное время:
1 час
Стоимость всего лечения:
5 000₽
Симптомы, с которыми обратился пациент
Санация полости рта
История
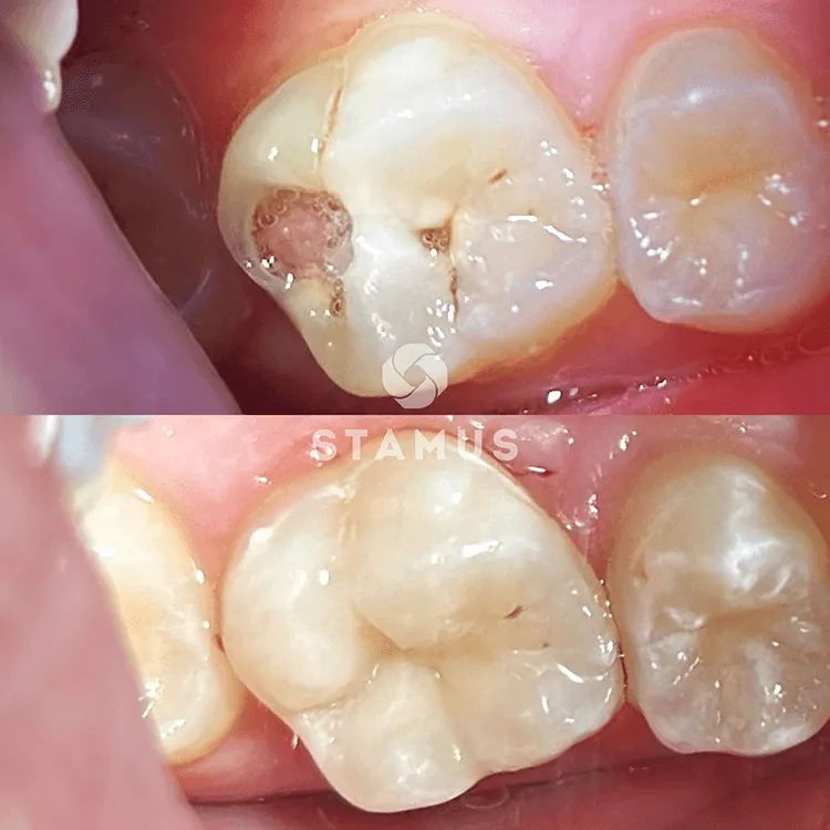
Пациентка пришла на прием с целью санации полости рта

Решение

Консультация
Пациентка обратилась с целью санации полости рта. Зуб ранее был лечен
Лечение
Была проведена очистка поверхности зуба от налета, анестезия и изоляция рабочего поля системой Коффердам, снятие старой пломбы, препарирование и фторирование полости. Произведена постановка пломбы фирмы Harmonize, шлифование и полирование пломбы
Рекомендации
Профилактический прием через 1 месяц
Записаться на консультацию
Перезвоним в течение 15 минут и уточним
удобную для вас клинику и дату
Нажимая кнопку отправить, вы соглашаетесь с Политикой обработки персональных данных

