
Лечение во сне
3 часа, лечение 6 зубов и гигиена
Затраченное время:
3 часа
Стоимость всего лечения:
93 500₽
Симптомы, с которыми обратился пациент
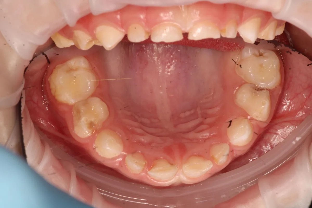
Желтый налет, боль в зубах
История
Пациент пришел на прием с жалобой на боль от всех видов раздражителей и желтый налет на зубах

Решение

Лечение
Пролечено 4 пульпита и 2 кариеса. Проведено восстановление зубного ряда посредством 6 металлических коронок, а также профессиональная гигиена полости рта
Наркоз
3 часа
Рекомендации
Замена зубной щетки. Профессиональная гигиена и профилактический осмотр
Лечащие врачи
Записаться на консультацию
Перезвоним в течение 15 минут и уточним
удобную для вас клинику и дату
Нажимая кнопку отправить, вы соглашаетесь с Политикой обработки персональных данных





