
Художественная реставрация зубов
2 зуба
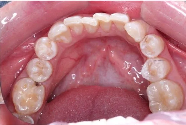
Пациент обратился с острой болью на нижней челюсти справа. В ходе осмотра было выявлено кариозное поражение зуба 4.5 сообщающаяся с полостью зуба и вторичное кариозное поражение зуба 4.6.

Решение

Лечение
Проведена эндодонтическое лечение 4.6 с реставрация зуба и реставрация зуба 4.5.
Лечащие врачи
Записаться на консультацию
Перезвоним в течение 15 минут и уточним
удобную для вас клинику и дату
Нажимая кнопку отправить, вы соглашаетесь с Политикой обработки персональных данных

