
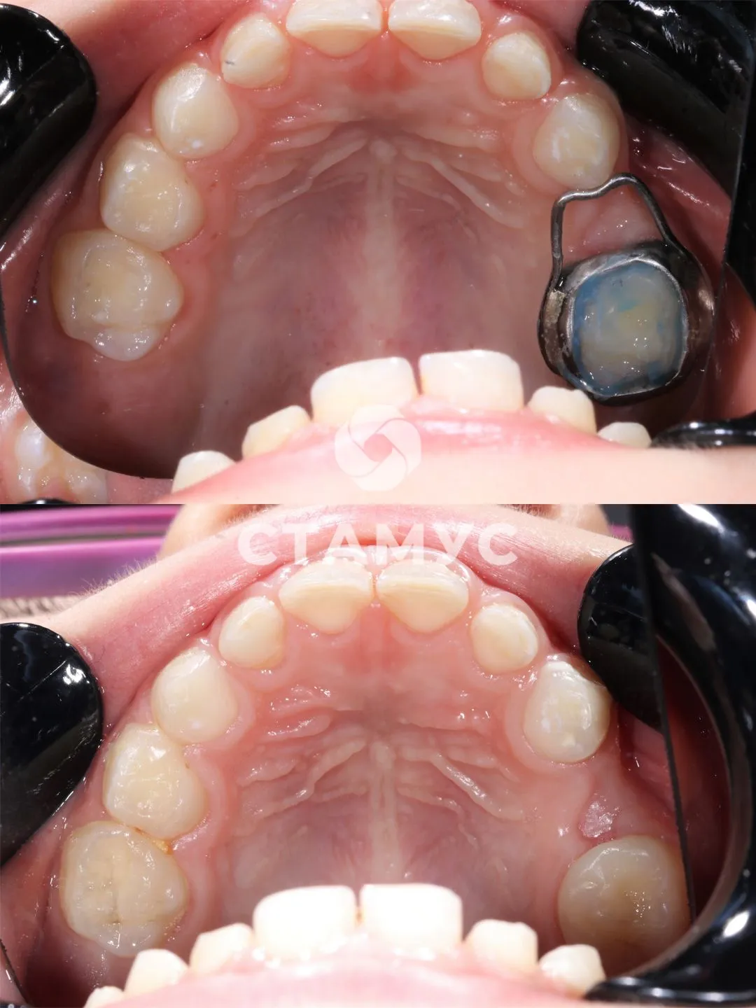
Ортодонтическое лечение
с помощью металлической распорки
Симптомы, с которыми обратился пациент
Необходимо сохранить место для прорезывания постоянного зуба
Решение

Лечение
Для пациента была изготовлена металлическая распорка, далее произведена фиксация.
Рекомендации
Даны рекомендации по приему пищи и гигиене, назначены профилактические осмотры каждые 3-6 месяцев.
Лечащие врачи
Записаться на консультацию
Перезвоним в течение 15 минут и уточним
удобную для вас клинику и дату
Нажимая кнопку отправить, вы соглашаетесь с Политикой обработки персональных данных

