
Лечение каналов зуба
1 зуба
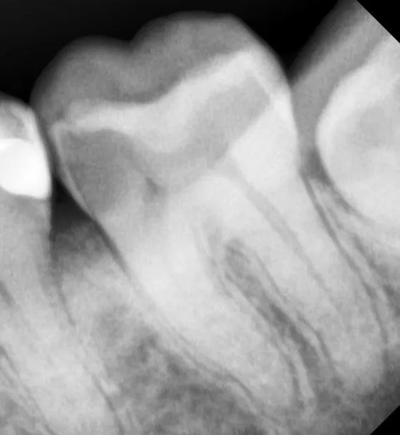
История
Пациент, 33 года обратился с жалобами на ноющую боль слева снизу.
Решение

Лечение
Провели лечение корневых каналов и подготовили зуб под коронку.
Лечащие врачи
Записаться на консультацию
Перезвоним в течение 15 минут и уточним
удобную для вас клинику и дату
Нажимая кнопку отправить, вы соглашаетесь с Политикой обработки персональных данных

