
Профессиональная гигиена полости рта
Air flow
Затраченное время:
1,5 часа
Стоимость всего лечения:
5 500₽
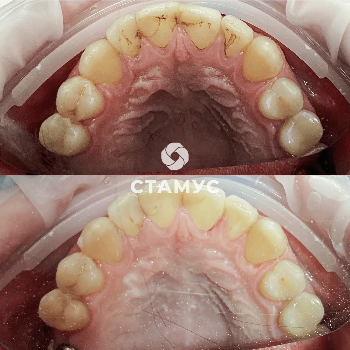
Симптомы, с которым обратился пациент
Неудовлетворительная гигиена полости рта
Решение

Первый этап:
Air Flow – бережно отчищает зубы от налета и различных отложений.
Второй этап:
Ультразвуковая чистка зубов – удаление зубного камня.
Третий этап:
Полировка зубов специальными пастами.
Четвертый этап:
Реминерализация – насыщение эмали зубов полезными веществами.
Лечащие врачи
Записаться на консультацию
Перезвоним в течение 15 минут и уточним
удобную для вас клинику и дату
Нажимая кнопку отправить, вы соглашаетесь с Политикой обработки персональных данных




